Toxoplasma Gondii
Toxoplasma gondii Nedir ve tarihçesi Nasıldır ?
Toxoplasmosis , Toxoplasma gondii ‘nin neden olduğı insan dahil bütün memelilerde ve kanatlılarda görülen sistemik protozoal bir enfeksiyondur. Çok yaygın olmasına karşın vaka adedi çok azdır. Asemptomatik akut toxoplasmosis insan ve koyunlarda kongenital enfeksiyonlarda önemli yere sahiptir.
Nicolle ve Manceaux 1908 yılında Tunus'taki Pasteur Enstitüsü'nde Charles Nicolle laboratuvarında leishmaniasis araştırması için kullanılan hamster benzeri bir kemirgen olan Ctenodactylus gundi ‘nin dokularında bir protozoan bulmuştur . Nicolle başlangıçta bir piroplasma olduğunu ve Leishmania olduğunu düşünmüştür. Daha sonra morfolojik özelikleri ve son konağına dayanarak yeni bir parazit olduğunu fark etmiştir , Toxoplasma gondii adını vermiştir.
Toxoplasma gondii , toxoplasmatidae ailesi , toxoplasma soyunda yer alan yegane türdür. Gelişmeleri zorunlu veya isteğe bağlı heteroksendir. Kediler , Toxoplasma gondii ‘nin hem son kanağı hemde diğer memeli hayvanlar , kanatlılar ve insanlarla birlikte ara konağı konumundadır. Ara konaklarda oluşturdukları kistler içerisinde çok sayıda bradzoit ihtiva ederler.
Toxoplasma gondii’ nin Yaşam döngüsü Nasıldır ?
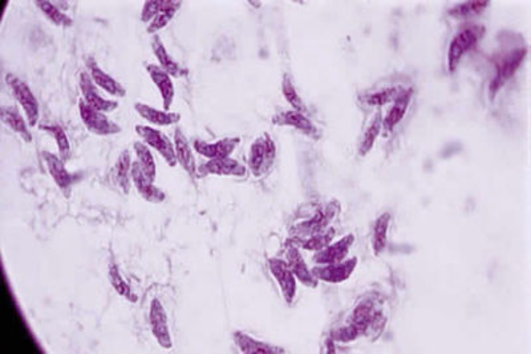
T.gondii ‘nin oluşturduğu toxoplasmosis insan ve hayvanlarda yaygın olarak görülmektedir. T. gondii ‘nin diğer protozoonlardan farklı üç enfektif formu vardır. Bunlar kedi ve kedigillerin bağırsaklarında seksüel gelişme sonucu oluşan ve dışkı ile doğaya atılan ookist içerisindeki sporozoitler , arakonakların çeşitli organ ve doku hücreleri içerisinde bulunan trofozoitler ve arakonakçının dokularında bulunan bradzoitlerdir. Arakonak ve sonkonağın enfeksiyonu bu üç enfektif formdan herhangibirinin ağız yolu ile alınmasıyla oluşmaktadır. Bu tür enfeksiyonlara sonradan kazanılmış toxoplasmosis denir. Gebelik esnasında enfeksiyona yakalanan anneden trofozoitlerin plasenta yolu ile yavruya geçmesiyle oluşan enfeksiyona da kongenital toxoplasmosis adı verilir.

Kedi, T. gondii’nin herhangi bir şekli ile sindirim yolundan enfekte olduğunda, parazit ince bağırsak hücrelerine girer. Burada ookistleri meydana getirir daha sonra buradan da dışkı ile dışarı atılırlar. Kedi, olgun ookistleri sindirim yolundan aldığında yaklasık üç hafta, takizoit bulunan fareleri yediğinde 10 gün, kist (bradizoit) bulunan fareleri yediğinde 3-5 gün sonra dışkısı ile olgunlaşmamış ookist atmaya başlar ve ookist atılımı 1-2 hafta sürer. Olgun ookistteki sporozoitler, enfekte hayvandaki takizoitler ve kistlerdeki bradizoitler, kedi için olduğu gibi diğer konaklar ve insanlar icin de enfektiftir.
Arakonakların enfeksiyona yakalanması 2 yolla şekillenmektedir .
- Arakonak olan tüm memeli hayvanlar, sporlanmış ookistleri ağız yoluyla alarak enfekte olurlar.
- Memeli hayvanlar, parazitin doku kistlerini taşıyan baska bir arakonağı yiyerek enfekte olabilirler.
Sindirimi takiben kist veya ookistlerin dış duvarları enzimlerin etkisiyle açılır ve enfektif olan doku kistleri bağırsak lümeninde serbest hale geçerler. Hızlı bir şekilde çevre hücrelerin içine girerek çoğalır ve takizoit haline geçerler. Takizoitlerin dağılması enfekte hücrelerin parçalanması ile şekillenir. Öncelikle birbiri ile temas halindeki hücreler, özellikle kan ve lenf hücreleri enfekte olur. Fekal-oral bulaşmadan başka, transplasental bulaşma, kan ve kan ürünlerinin transfuzyonu ile bulaşma, organ transplantasyonu ile bulaşma ve laboratuvar enfeksiyonları da söz konusudur . Ayrıca takizoitler bütün vücut sıvılarında bulunur ve sütle dışarı atılır. Akut enfeksiyonlu hayvanların yeni sağılmış sütünü çiğ içen kişilerde toxoplasmosis oluşabilmektedir.
Toxoplasma gondii ‘nin Yayılışı Nasıldır ?
Toksoplazmoz, dünya çapında bir dağılımı olan insanlar ve sıcak kanlı hayvanlarda en yaygın enfeksiyonlardan biridir. Hemen hemen her memeli türünde ve birçok kuş türünde gösterilmiştir.
- Nevşehir yöresinde ELISA testi ile incelenen toplam 180 koyunun 18 (%10)’inin T. gondii antikorları yönünden seropozitif olduğu tespit edilmiştir.
- Türkiye'nin farklı bölgelerinden insanlarda yapılan araştırmaların toplandığı derlemede , Marmara bölgesinden 10.295 hastanın T. gondii IgG antikorları %28.8 Karadeniz bölgesindeki Bolu ilinden 13.605 hastanın %21.3'ünde , İç Anadolu bölgesinden, 7051 hastasının %29.5'inde tespit edilmiştir.
- 1967 - 31 Aralık 2017 tarihleri arasında dünya üzerindeki T. gondii yaygınlığını gösteren çalışmalar için yedi veritabanı (PubMed, Embase, Google Akademik ScienceDirect, Scopus, Proquest ve Web of Science) incelenmiş 1967'den 2017'ye kadar 59.517 evcil kediler ve 2733 vahşi kedilerden oluşan bir analiz yapılmıştır. Bu çalışma sonucunda evcil kedilerde T. gondii seropozitifliğinin sırasıyla %52 ve %51 olarak Avustralya ve Afrika'da seroprevalans en yüksektir. En düşük seroprevalans Asya'da % 27 olarak görülmüştür. Vahşi kedilerde T. gondii için seroprevalans değerleri Afrika'da % 74 Asya'da % 67 , Avrupa'da % 75, Güney Amerika'da % 66 bulunmuştur.
Toxoplasma gondii’ de Bulaşma Nasıldır ?
Bulaşma baskın olarak doku kistlerinin yutulması, oositlerin kontamine gıda veya sudan alınması veya konjenital bulaşma yoluyla gerçekleşir. Kültür ve yeme alışkanlıklarına bağlı olarak değişebilmesine rağmen, bu yollardan hangilerinin bulaşmada epidemiyolojik olarak en önemli olduğu henüz açık değildir. Doku nakillerinde, kan nakillerinde ve pastörize edilmemiş sütte trofozoitlerden enfeksiyonlar da görülebilir . Doku kistleri ara konakçıların kas ve beyninde bulunur.
Enteroepitelyal döngünün, cinsel üremenin ve ookist üretiminin meydana geldiği kediler enfekte avı (kemirgenler, kuşlar , kistle kontamine gıda) yiyerek T. gondii’yi alırlar . Ayılar, tilkiler, rakunlar ve kokarcalar gibi vahşi etobur hayvanlar da doku kistlerinin yutulması yoluyla T. gondii’ yi alabilirler.

İnsan, enfeksiyonu domuz eti veya kuzu eti gibi az pişmiş kontamine et tüketimi yoluyla oluşur . Bir doku kisti yutulduğunda, kist duvarı midede proteolitik enzimlerle parçalanır ve ince bağırsakta enfeksiyonu başlatmaktadır.

Enfekte kediler, enfeksiyondan sonra 2 haftaya kadar dışkıyla birlikte çok sayıda ooksit (tek bir gün boyunca 10 milyon kiste kadar) çıkarmaktadır. Ookist dış ortamda 1 ile 5 gün içinde sporlaşır, enfektif hale gelir . Donmamış, nemli toprakta 1 yıldan fazla enfektif kalabilir . İnsanlara ookistlerle kontamine olmuş yiyecek veya su ile bulaşabilmektedir. Yıkanmamış çiğ sebze veya meyveler yemek veya ookistlerle kontamine su alımı önemli risk faktörleri olarak tanımlanmıştır.
Gebelik ile bulaşmada , ilk üç aylık dönemde, enfeksiyon oranı düşüktür (%20), ancak hamileliğin sonunda % 80 ’e yaklaşmaktadır . Gebelik vakalarının başlarında spontan düşük, hidrosefali ile sonuçlanan enfeksiyonlar şiddetlidir, ancak son trimesterde bulaşma oranları daha yüksektir, ancak bu vakaların çoğu subkliniktir ve sonuçta erken dönemde asemptomatik enfeksiyonlara veya tekrarlayan koriyoretinitit , körlük ile sonuçlanabilir . Doğumda elde edilen göbek kordon dokusunun PCR (Polimeraz Zincir Reaksiyonu) ile tespiti kullanılarak, insanlarda gebelikle bulaşma oranlarını ölçen yakın tarihli bir çalışmada, iletim oranı % 19.8 bulunmuştur. Koyunlarda yapılan çalışmalarda bu oran % 65 ve deneysel fare modellerinde % 75 olarak bulunmuştur.

Toxoplasma gondii’nin Klinik Belirtileri Nasıldır ?
- İnsanlardaki Klinik Belirtiler

İnsanlardaki enfeksiyonlardan biri gebelerde kongenital enfeksiyon, diğeri postnatal enfeksiyon olmak üzere iki şekilde görülür. Parazitle daha önce enfekte olmuş ve parazite karşı bağışık olan kadınlar gebe kaldıklarında, parazitten etkilenmezler ve normal doğum yaparlar. Parazitle daha önce karsılaşmamış ve bağışıklık gelişmemiş kadınlar, gebelikleri sırasında enfeksiyona yakalanırlarsa, meydana gelen trofozoitler plasentadan geçerek yavruyu da enfekte eder. Kongenital toxoplasmosiste yavruda ensefalitis, hydrosefalus, göz bozuklukları, deride kırmızı lekeler, sarılık ve hepatomegali görülür. Neural doku yıkımı sonucu intrakranial kalsifikasyonlar oluşur. Doğumdan sonra ölüm oranı yuksektir. Genellikle zeka geriliği ve daha sonra göz bozuklukları görülebilir .
- Kedilerdeki Klinik Belirtiler
Kedilerde toxoplasmosis çok yaygın olmasına rağmen klinik enfeksiyonlar çok nadirdir. Başlıca semptomlar enterit , mezenterik lenf yumrularında büyüme ,solunum problemleri ,merkezi sinir sisteminde dejeneratif değişiklikler , beyin iltihanı ve kronik böbrek hastalıkları görülür. Çok nadir olmakla birlikte gebelik esnasında kistlerdeki bradzoit aktivasyonu ile kongenital enfeksiyon şekillenebilir.
- Köpeklerdeki Klinik Belirtiler
Köpeklerde en çok solunum ve sinirsel belirtilerle seyreden enfeksiyonlara rastlanır. Ateş , iştahsızlık , solunum problemleri ,anoreksi , ve diyare görülür. Köpeklerde toxoplasmosis sık sık distemperla seyreder .
- Sığırlardaki Klinik Belirtiler
Sığırlarda başlıca semptomlar dispne , öksürük , hırıltılı solunum , burun akıntısı , titreme ve baş sallama görülür. Ölümler ani ortaya çıkar , ölmeyen hayvanlarda hastalık birkaç ay sürebilir.)
- Koyunlardaki Klinik Belirler

Parazite karsı bağışıklığı bulunmayan koyunlar gebe kaldıklarında abort ve prenatal kuzu ölümleri görülür. Enfeksiyon gebeliğin ilk 55 günü içersinde olursa, fetüs küçük olduğundan abort çoğu zaman dikkat çekmez. Enfeksiyon gebeliğin ortalarında olursa çoğunlukla abort gözlenir. Atılan yavru zarlarının kotiledonlarında 2 mm. çapında beyaz fokal nekroz odakları görülür. Bu fokal nekrozlar hastalığın tanısı için oldukça tipiktir. Eğer ölmüş olan fetus atılmazsa uterusta mumifiye olur ve daha sonra atılır. Gebeliğin sonlarına doğru olan enfeksiyonlarda ölü veya canlı doğumlar olabilir. Ancak canlı doğan yavrular doğumdan sonra belirli bir süre içinde ölür veya zayıf kalırlar. Fetusta başlıca lezyon ensefalomiyelitistir. Hastalık bütün memelilerde subklinik seyretmektedir. Bununla birlikte bazı olaylarda vücut sıcaklığında artış, durgunluk, lenf yumrularının şişmesi, solunum güçlüğü ve bazen ishal gibi karakteristik olmayan genel bozukluklar ortaya çıkabilir. Pneumoni ve nörolojik bozukluklar görülebilir.

- Domuzlardaki Klinik Belirtiler
Yenidoğan ve üç haftalığa kadar olan domuzlarda salgınlar yüksek oranda ölümle sonuçlanır. Klinik semptomlar ateş, titreme, zayıflama, öksürük, abdominal kaslarda gevşeme ve ishaldir. Solunum sistemi semptomları akut toxoplasmosisin en yaygın belirtisidir.
- Kuşlardaki Klinik Belirler
Kanatlılarda akut enfeksiyona bağlı ani ölümler görülmüş , sağ kalanlarda ise anoreksi , zayıflama ,diyare ve körlük gibi semptomlar görülür.
Toxoplasma gondii Tanısı Nasıldır ?
Toxoplasmosisin klinik belirtileri patognomonik olmayıp, yerleştiği organa göre değismektedir. Doğru tanı koyabilmek için değisik yöntemler kullanılmaktadır. Bu yöntemler, direkt ve indirekt tanı yöntemleri olmak üzere iki grup altında incelenebilir. Direkt tanı etken izolasyonu, PCR, antijen spesifik lenfosit transformasyon, lenfosit kopyalama tekniği ve histolojik metotlar ile yapılmaktadır. İndirekt yöntemler, Toxoplasma gondii ‘ye özgü antikorları belirlemek üzere kullanılan serolojik testleri kapsamaktadır.
Toxoplasma gondii’nin Tedavi ve Koruması Nasıldır ?
- Kedilerde clindamycin ookist çıkarımını azaltmaktadır. Koyunlarda anticoccidial decoquinate 2mg/kg günlük dozda verildiğinde , gebe koyunlarda T. gondii ookistlerinin etkisini azaltmaktadır.
- Toxoplasmosisten korunmada insanlar et ve sakatat grubu hayvansal besinleri az / çiğ pişmiş yenmemelidir. Çiğ etle direkt temasta , elin göze değdirilmesiyle de bulaşma vakaları vardır. Kedilerinde ookist çıkarımını engellemek için çiğ veya az pişmiş et ve sakatat ile beslenmemelidir. Kedi dışkıları sporlanmadan günlük olarak uzaklaştırılmalıdır.Çocuk bahçelerine kedi girişleri engellenmelidir. Taze çiğ süt tüketilmemelidir.

- Hayvanların toxoplasmosisten korunmasında yemlerin bulunduğu bölümlere kedi girişleri engellenmelidir. Kedi dışkısının hayvanların yem ve sularına karışması engellenmelidir. Kediler her bir buçuk ayda bir iç parazit uygulaması yapılarak koruma sağlanmalıdır.
Written by
Beril KOÇ
EditorBreedsMore
IllnessesMore
Forage cropsMore
Патологическая физиология голодания Arina TARAN
Дефицит фосфора (гипофосфатемия) Hipofosfatemi Arina TARAN
Какие бывают кормораздатчики для ферм КРС? Irina Makarova
Кормушки для овец Diana Myakisheva
Питание домашних коз: что едят, виды корма и правила кормления Alina Arslantürk
Важность минералов питании сельскохозяйственных животных Irina Makarova



















