Theileriosis (Mısır Humması, Akdeniz Sahil Humması, Tropikal Humması)

Theileriosis Hastalığı Nedir ?
Theileriosis, sığır, koyun ve keçi gibi ruminatlarda konaklayan Theileria spp. türlerine bağlı oluşan önemli bir kan protozoonu hastalığıdır. Tüm ülkede görülen bu hastalık hayvanlara kene yoluyla bulaşır. Bu hastalık bir çok etkene sahiptir. Bu etkenler ise;
- Theleria Parva : Afrikanın Doğu sahillerinde daha çok görülür. Daha ölümcül seyreder. "Doğu Humması" olarak da bilinir.
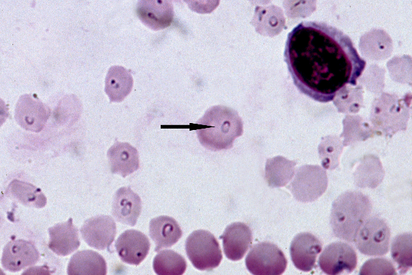
- Theleria Annulata: Türkiye’de daha yaygın olmakla beraber Kuzey Afrika, Güney Avrupa, Çin, Rusya, Hindistan gibi ülkelerde de görülen Hyalomma cinsi keneler yoluyla bulaşan bir kan protozoonu hastalığıdır. Piroplazmik formlarının %80’i yuvarlak, oval olmasıyla beraber %20’si de virgül, çomak ve anaplazmoid şeklindedir. Tropikal Theileriosis, "Mısır Humması", "Akdeniz Sahil Humması" olarak da bilinir.
- Theleria Ovis: Dünyanın birçok ülkesinde ve Türkiye’de yetiştirilen koyunlarda görülmektedir. Rhipicephalus cinsi keneler yoluyla bulaşır.
- Theleria orientalis, Theleria sergeti gibi etkenler ise pek görülmemektedir.
Theileriosis Hastalığı Nasıl Bulaşır?
Kenelerin aktif olduğu ilkbahar, yaz ve sonbahar aylarında ortaya çıkar. Theileriosis'li hayvanlardan kan emen keneler etkenleri alır ve kenenin bağırsaklarında gametogoni aşamasından geçer. Şekillenen zigot içerisinde gelişen kinet, direkt hemolenf yoluyla kenenin tükürük bezine gelir. Burada sporozoitleri oluşturur. Oluşan sporozoitler, kenenin başka bir hayvandan kan emmesi sırasında hayvana nakledilir. Salya yoluyla nakledilen sporozoitler hayvanlarda bu öldürücü enfeksiyona sebep olmakla beraber, kanda lenfositlere yerleşerek iki aşamalı şizogoni dönemi geçirir. Oluşan merozoitler, buradan eritrositlere geçer ve Theileria parva dışındaki türlerde intraeritrositer(eritrosit içinde) gelişme gözlenmektedir. İşte bu eritrosit içerisinde gelişen formlara "piroplazma" da denilmektedir. Bulaşmadaki en kilit nokta başta lenfoid dokunun etkilenmesidir.

Theileriosis Hastalığının Klinik Bulguları Nelerdir?
- En dikkat çeken klinik bulgusu, kenenin ısırdığı bölgeye en yakın lenf yumrularının şişmesidir.
- Splenomegali (dalak büyümesi) oluşur.
- Yüksek ateş (40.5-42 derece), iştahsızlık, rumen(işkembe) hareketlerinde yavaşlama, depresyon, durgunluk, salya artışı, kalp frekansı ve solunum sayısı artışı, harekette isteksizlik görülür.
- Süt veren hayvanların süt verimi düşer, gebe hayvanlarda yavru atma görülür.
- Önce kabızlık, bir süre sonra kanlı ishal görülmektedir.
- İleri safhalarda sinirsel bulgular da görülmektedir. Bunlar; kasların kasılması, diş gıcırtma, dönme hareketleri.
- Başlangıçta mukoza ve konjuktivalarda peteşiyal (nokta tarzı) kanamalar görülürken bir süre sonra anemi (kansızlık), ikterus (sarılık), nadiren de hemoglabinüri görülmektedir.
- Akciğerdeki ödeme bağlı solunum güçlüğü ve öksürük görülür.

Theileriosis Hastalığının Teşhisi Nasıl Yapılır?
Belirtilen klinik bulgular ile kesin theileriosis diyemeyiz. Çünkü bu klinik bulguları gösteren, başka hastalıklar da vardır. Bu nedenle kesin tanı için laboratuvar muayenesi yapılmalıdır. Bunun için de hayvandan kan örneği alınıp laboratuvara gönderilmelidir. Laboratuvarda kan analizleri sonucu lenfositopeni ve trombositopeni görülmesi bize theleriosis tanısını koydurur.

Theileriosis Hastalığını Benzer Hastalıklardan Nasıl Ayırt Ederiz?
Theleriosis hastalığı en çok Anaplazmosis, Babesiosis ve nadiren Leptosiprosis hastalıklarıyla karıştırılabilir. Anaplazmosis ve Babesiosis hastalıklarından farkı; genç hayvanlarda görülmesi, lenf yumrularının şişmesi ve solunum yolu probleminin biraz daha şiddetli seyretmesidir. Leptosipirosiden ise renal yetmezlik ve sütte kan görülmemesiyle ayırt edilir.
Theileriosis Hastalığının Tedavi ve Koruma Yöntemleri Nelerdir?
İlk olarak bir veteriner hekimi aramanız hayvanınızın sağlığı açısından daha iyi olacaktır. Tedaviye uygun ilaç kullanılsa bile geç kalınan vakalarda hastanın kurtulma şansı biraz zor olmaktadır. Bu nedenle hastalıktan korunma, hastalığı tedavi etmekten daha iyidir. Korunma yöntemleri ise;
- En önemli yöntemlerden biri kene ile mücadelenin yapılmasıdır.
- Özellikle kültür ırklarında hastalığın yaygın olduğu yerlerde kene mevsiminden birkaç hafta önce aşı uygulanabilir.
- Enfeksiyonun kontrolu amacı ile oksitetrasiklin LA verilebilir.
- Eritrositer formlarının naklinin önlenmesi için iatrojenik hataların yapılmamasına dikkat edilmelidir.

Kaynakça
https://vetrehberi.com
https://acikders.ankara.edu.tr
İç hastalıkları kitabı
Written by
Ahmet GEDIZ
VeterinarianBreedsMore
IllnessesMore
Forage cropsMore
Патологическая физиология голодания Arina TARAN
Дефицит фосфора (гипофосфатемия) Hipofosfatemi Arina TARAN
Какие бывают кормораздатчики для ферм КРС? Irina Makarova
Кормушки для овец Diana Myakisheva
Питание домашних коз: что едят, виды корма и правила кормления Alina Arslantürk
Важность минералов питании сельскохозяйственных животных Irina Makarova


















